درد پاشنه پا نباید به بخشی دائمی از زندگی شما تبدیل شود. اگر دردی تیز و مداوم در کف پای خود احساس میکنید، ممکن است با عارضهای به نام «خار پاشنه» مواجه باشید. این زائده کوچک استخوانی میتواند تأثیر بزرگی بر راحتی و تحرک شما داشته باشد. اما راهحل چیست؟
خوشبختانه، دیگر نیازی نیست تنها به استراحت یا روشهای تهاجمی فکر کنید. فیزیوتراپی مدرن با ارائه مجموعهای از درمانهای قدرتمند و غیرتهاجمی، از تمرینات هدفمند گرفته تا تکنولوژیهای پیشرفتهای چون لیزر و شاکویو، راهی مؤثر برای تسکین درد و درمان ریشهای این مشکل فراهم کرده است. در ادامه این مطلب از فیزیوتراپی دکتر سلیمانی فر، با ما همراه باشید تا با این روشهای درمانی نوین و چگونگی بازگشت به زندگی بدون درد آشنا شوید.
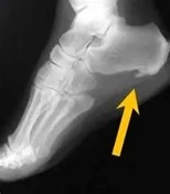
خار پاشنه چیست؟
خار پاشنه نوعی زایده استخوانی در قسمت پاشنه پا است که باعث ناراحتی و درد در کف پا می شود،این عارضه به مرور زمان ایجاد میشود. اکثرا تا زمانی که احساس درد نکنند تشخیص داده نمی شود.
اندازه این زائده استخوانی میتواند به ۲ سانتیمتر برسد، اما لزوما همیشه با چشم غیرمسلح دیده نمیشود. بیشتر از طریق تستهای تصویربرداری یا آزمایشهایی که برای تشخیص سایر مشکلات پا انجام میشوند، قابل تشخیص است.


علائم خار پاشنه پا
علائم این عارضه معمولا شامل موارد زیر است:
- درد (به خصوص هنگام راه رفتن یا دویدن)
- التهاب
- تورم در جلوی پاشنه پا
عوارض خار پاشنه
- بدون شک اختلال در راه رفتن مهمترین عارضه این بیماری است. درد ناشی از خار پاشنه باعث میشود هنگام راه رفتن پوسچر مناسبی نداشته باشید. این امر به نوبه خود به ستون فقرات فشار وارد میکند و میتواند زمینهساز مشکلات دیگری باشد.
علت خار پاشنه
رسوب ماده معدنی کلسیم در پاشنه پا طی چند ماه باعث بیرونزدگی استخوان در این قسمت میشود. این مشکل زمانی رخ میدهد که استرس و فشار زیادی روی لیگامانها و رباطهای کف پا وارد شود.
خار پاشنه به طور ناگهانی پس از یک تمرین یا رویداد ورزشی ظاهر نمیشود، بلکه فشار مکرر ناشی از راه رفتن، دویدن یا پریدن روی سطوح سخت باعث بروز آن میشود. به همین دلیل، در بین ورزشکارانی که فعالیت زیاد دارند رایج است. پوشیدن کفشهای نامناسب یا کهنه هم در ایجاد این زائده استخوانی نقش دارد. سایر دلایل احتمالی عبارتاند از:
- آرتریت (بیماریهای مفصلی)
- چاقی و اضافه وزن
- افزایش سن که انعطافپذیری کف پا را کاهش میدهد
- ایستادن برای مدت طولانی
- تمرینات شدید
- کفش نامناسب
با توجه به اینکه دلایل متعددی از جمله اضافه وزن، کفش نامناسب یا مشکلات ساختاری پا میتوانند در بروز خار پاشنه نقش داشته باشند، تشخیص دقیق علت اصلی برای انتخاب بهترین رویکرد درمانی ضروری است. در چنین شرایطی، مشاوره با یک فوق تخصص فیزیوتراپی در کرج میتواند اولین گام برای ارزیابی کامل وضعیت پا و طراحی یک برنامه درمانی شخصیسازیشده برای اهالی کرج باشد.
درمان فیزیوتراپی خار پاشنه پا
تمرینات کششی:
این تمرینات برای کشش عضلات کف پا (پلانتار) و عضلات ساق پا طراحی میشوند تا تنش روی ناحیه پاشنه کاهش یابد. کشش تاندون آشیل و فاشیای کف پا باعث افزایش انعطافپذیری و کاهش فشار روی خار پاشنه میشود.


تمرینات تقویتی:
فیزیوتراپیست تمریناتی را تجویز می کند که به تقویت عضلات کف پا و ساق پا کمک میکنند. این تمرینات باعث بهبود ثبات پا و کاهش فشار روی ساختارهای آسیبدیده میشوند.
درمانهای دستی و ماساژ:
ماساژ درمانی و تکنیکهای دستی میتوانند تنش عضلات را کاهش داده و جریان خون را در ناحیه آسیبدیده بهبود بخشند، که به روند بهبودی سرعت میبخشد.
استفاده از کفی های طبی:
فیزیوتراپیست ممکن است استفاده از کفیهای طبی را توصیه کند که به توزیع یکنواخت فشار روی پا کمک میکنند.
این تکنیکها به صورت ترکیبی میتوانند تأثیرات خار پاشنه را کاهش داده و به بهبودی کمک کنند.
شاکویو تراپی (ESWT)
یکی از بهترین راهکارها استفاده از شاک ویو تراپی است. دستگاه شاک ویو تراپی با استفاده از امواج مافوق صوت (Ultra Sonic) درمان موثری را جهت رفع این عارضه ارائه میدهد. امواج شاک ویو با ایجاد پارگیهای بسیار ریز میکروسکوپی در بافت مربوطه بر اثر ضربه شدید موجب افزایش مویرگهای بافت و انتقال سلول های ترمیم کننده از طرف بدن به محل آسیب دیده میگردد. بدین وسیله روند ترمیم و بهبودی در بافت مربوطه فعال میشود.
استفاده از تحریکات الکتریکی
تحریکات الکتریکی سطحی مانند تنس و اولتراسوند نیز باعث کاهش درد، التهاب و افزایش خونرسانی در محل ضایعه می شود
استفاده از لیزر پرتوان
در درمان خار پاشنه با لیزر پرتوان، انرژی نور لیزر به بدن کمک میکند تا به طور طبیعی درد را کاهش دهد. این نور باعث آزاد شدن اندورفینها میشود که مسکنهای طبیعی بدن هستند و به تسکین درد کمک میکنند.

همچنین لیزر باعث افزایش جریان خون و تقویت تخلیه مایعات لنفاوی میشود که این امر به کاهش تورم و التهاب در اطراف خار پاشنه کمک میکند.
لیزر پرتوان همچنین تولید کلاژن و پروتئینهای ضروری برای ترمیم بافتهای آسیبدیده را تحریک میکند و به بهبود سریعتر فاشئای پلانتار و بافتهای اطراف کمک میکند.
درای نیدلینگ (سوزن خشک):
تکنیکی که در آن از سوزنهای بسیار نازک برای تحریک نقاط خاص عضلات و بافتهای نرم استفاده میشود، که میتواند به کاهش درد و بهبود عملکرد عضلات کمک کند.
استفاده از طب سوزنی الکتریکی یا الکترواکوپانکچر
الکتروآکوپانکچر، نفوذ جریان الکتریکی و تحریک آن به وسیله دستگاه مخصوص الکتروآکوپانکچر و سوزن بوده که موجب بهبود درد و ناراحتی ایجاد شده در پا و بهبود خارپاشنه می شود.

جراحی خار پاشنه
بر اساس تحقیقات، ۹۰ درصد بیماران بدون نیاز به عمل جراحی در عرض ۱۰ ماه بهبود مییابند. با این حال، اگر روشهای معمول برای درمان این عارضه مفید نباشند، پزشک از جراحی برای برداشتن آن زایده استخوانی استفاده میکند.
بهبودی کامل بعد از جراحی به زمان نیاز دارد. رعایت نکات زیر در دوره نقاهت به بهبودی سریعتر شما کمک میکند:
- استراحت دادن به پا
- استفاده از کمپرس سرد
- استفاده از تجهیزات حمایتی
نتیجه گیری
فیزیوتراپی برای درمان خار پاشنه یک روش مؤثر و غیرتهاجمی است که به کاهش درد، افزایش انعطافپذیری و بهبود عملکرد پا کمک میکند. این روش با استفاده از ترکیبی از تمرینات کششی، تقویتی و تکنیکهای دستی مانند ماساژ و درمانهای فیزیکی مانند اولتراسوند و لیزر کمتوان، میتواند فشار روی ناحیه پاشنه را کاهش داده و فرآیند بهبودی را تسریع کند.
با رعایت دقیق تمرینات و راهنماییهای فیزیوتراپیست، بسیاری از بیماران بدون نیاز به جراحی یا روشهای تهاجمی دیگر بهبود قابل توجهی را تجربه میکنند.